At a Glance
- Corey Harrison sustained 11 broken ribs in an accident on January 26, 2026.
- He spent 3 nights in the hospital and announced he would miss his father’s wedding.
- The wedding, scheduled for the same month, was a flash-fancy ceremony in Las Vegas.
- Why it matters: The accident highlights the risks of motorcycle riding and shows the impact on a high-profile family event.
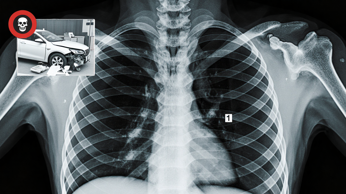
Corey Harrison, 42, posted a hospital update on January 26, 2026, after a motorcycle mishap left him with 11 broken ribs. The reality star, known for Pawn Stars, shared photos of himself in a hospital bed and a brief statement that he was “good” despite the injuries. He also noted that he would not attend his father, Rick Harrison’s wedding.
Accident and Hospital Stay
On January 26, 2026, Corey was involved in an accident that caused 11 fractures in his rib cage. He posted an Instagram update that read:
> “Pretty messed up but I’m good,” Harrison wrote, adding that “crash bars are awesome,” apparently referring to the part of a motorcycle or bike.
He added:
> “3 nights in the hospital, 11 breaks in my rib cage. Will do an episode on @theCoreyHarrisonshow. sorry Pops looks like I’m missing your wedding.”
The post included images of bruising and cuts on his forehead, a thumbs-up in a hospital bed, and X-ray photos with arrows pointing to each break. Fans responded with well-wishes in the comments.
Key Facts
- Age: 42
- Injuries: 11 broken ribs
- Hospital stay: 3 nights
- Public statement: “Good” and will miss wedding
Impact on Family Events
Corey’s injury meant he would miss the wedding of his parents. According to a family representative, Rick Harrison, 60, will not have his son present at the ceremony.
Rick and his wife, Agripina “Angie” Polushkin, celebrated a wedding on January 3 at the Little White Chapel in Las Vegas. The ceremony featured an Elvis Presley impersonator.
At the time of the wedding, the couple told News Of Los Angeles that they were “so excited to start this next chapter as husband and wife and celebrate with friends and family in Las Vegas, and also at our wedding later this month.” They added, “It has been such an adventure already, and we are looking forward to all of it.”
Rick Harrison’s Wedding Timeline
| Date | Event |
|---|---|
| March 2025 | Rick announced his engagement to Angie. |
| June 2024 | Rick told News Of Los Angeles that he met Angie six months prior and confirmed she was a nurse in Las Vegas. |
| January 3, 2026 | First wedding ceremony at Little White Chapel, Las Vegas. |
| January 9, 2026 | Rick said on Fox News that they had a “flashy little wedding” and would later have a bigger ceremony in Cancun. |
| January 26, 2026 | Corey’s accident and hospital update. |
Public and Media Response
The accident and subsequent hospital stay drew attention from fans and media alike. The post was shared across social platforms, and comments highlighted the family’s close bond. While the incident was serious, Corey’s upbeat tone helped keep the public’s focus on recovery rather than the severity of the injuries.

Rick’s wedding, originally announced in March 2025, had already taken place in Las Vegas before the family’s planned Cancun ceremony. The couple’s excitement about the upcoming event was evident in their statements to News Of Los Angeles and Fox News.
Takeaways
- Corey Harrison’s accident underscores the dangers of motorcycle riding, even for experienced riders.
- The injury forced a high-profile family to adjust plans, illustrating how personal events can be impacted by unforeseen circumstances.
- The family’s public communication-through Instagram updates and statements to media outlets-kept fans informed and engaged.
Corey’s recovery will likely be covered in future episodes of his show, and fans will be eager to see him return to the screen.
Never miss a story – sign up for News Of Los Angeles‘s free daily newsletter to stay up-to-date on the best of what News Of Los Angeles has to offer, from celebrity news to compelling human interest stories.

